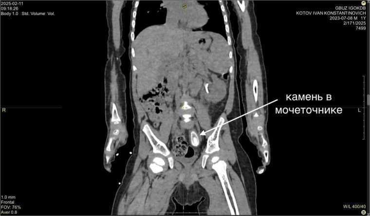
Камень в 3 см удалили из мочеточника маленького жителя Усть-Кута

Сложную операцию провел знаменитый на весь мир иркутский хирург, главный врач Иркутской областной детской клинической больницы Юрий Козлов.

post-22771 thumbnail
  • 12:05
  • 27.03.2025
  • ОбществоУсть-Кут
  • 0
  • 668

Первые признаки заболевания жительница Усть-Кута обнаружила у сына Вани еще в декабре прошлого года. На обследовании в Иркутске поставили диагноз — большой камень в нижней трети левого мочеточника размером около 3 на 1,5 см и вызванный им блок почки.

Размер камня удивил медиков — это нетипично для таких маленьких пациентов.

— Попытка внутрипросветного лечения была безуспешна — устье мочеточника не пропускало даже самую маленькую оптическую систему цистоскопа. После месяца непростого лечения с использованием нескольких антибиотиков была выполнена операция с применением нашего излюбленного подхода без разрезов — лапароскопии, — рассказывает Юрий Козлов.

Операция прошла успешно, и сегодня Ваня чувствует себя прекрасно.

Администрация УКМО

Данное сообщение (материал) создано и (или) распространено некоммерческими организациями и (или) средствами массовой информации, требующими полной отмены законодательства об иностранных агентах

Вы сможете добавить комментарий после авторизации

Присоединяйтесь! Мы в социальных сетях:

Вам также может быть интересно:

post-34345 thumbnail

#Топ новостьКриминалУсть-КутЭкология

В Усть-Куте мертвые собаки лежат по всему городу

Результатом незаконного и бесконтрольного отстрела животных в Усть-Куте, стал город полный убитых собак Результатом ненавистнический акции в отношении бездомных животных, стал их бесконтрольный отстрел по всему городу. При этом ни о какой централизованной или цивильной акции речи не идет, так как после убийства  мертвых собак никто не убирает и они валяются по всему Усть-Куту. Полиция традиционно бездействует и жители возмущены происходящим, так как под такой отстрел могут попасть не только собаки. Более того, апокалипсическая картина с убитыми собаками по всему городу, это вообще не приемлемый пейзаж, который даже хуже, если бы по городу валялись тушки чиновников, ответственных за наводненный бродячими собаками город. ВИДЕО Ариэль Эмет Специально для «УК24» фото : из открытых источников Канал в Телеграмм Наш Инстаграм Страничка в Одноклассник  
2327
0
09.01.2026 в 14:30
post-34330 thumbnail

#Топ новостьКриминалУсть-Кут

Барыги Усть-Кута. Наркоточка на Горке

Семейная пара неблагополучных людей, торгует наркотиками из своего дома на Горке Еще про одну наркоточку в микрорайоне Горка, рассказали нам неравнодушные люди. Там семейная пара Александра и Анастасии Клыпиных, продают в розницу из дома пророк и кроме этого, не брезгуют раскладкой закладок, простите за тавтологию. Так как семья многодетная, то за наркотиками в Братск они ездят вместе с детьми, типа по врачам или на отдых. Дети отвлекают внимание у полиции на трассе и поэтому их не досматривают по дороге в Усть-Кут. Судя по всему, тоже имеют двойную криминальную "крышу" от полиции и полублатной чесотки, поэтому даже не заморачиваются насчет охраны, ограничиваясь камерами наблюдения периметра. Это уже третья, в открытую работающая стационарная наркоточка в Усть-Куте, о которой мы написали за последний месяц. При этом правоохранители города,  вообще пока никак не реагируют на откровенный наркобеспредел. Если вам что либо известно о подобных случаях, напишите нам пожалуйста на электронную почту EMETARIEL200@GMAIL.COM Этот электронный адрес находится вне юрисдикции российских властей и мы гарантируем полную анонимность. За 10 лет существования "Усть-Кут24", ни один наш источник, никогда не был рездеанонен полицией или другими силовыми структурами. Кроме этого, бороться с наркоторговлей нужно всем миром, так как именно этот криминальный бизнес, лишает будущего новые поколения. Будьте на белой стороне в борьбе со злом! Ариэль Эмет Специально для «УК24» фото : из открытых источников Канал в Телеграмм Наш Инстаграм Страничка в Одноклассник    
1837
0
09.01.2026 в 05:27
post-34314 thumbnail

#Топ новостьКриминалУсть-КутЭкология

В Усть-Куте начался отстрел собак

По городу ездит белая Тойота, из которой ведется отстрел собак, предположительно из пистолета Белая Тойота  с госномером с878мв138, ездит по городу и оттуда прямо из окна, стреляют в собак. На видео можно заметить, что выстрелы не все удачные и происходят они в городской застройке. Это как минимум опасно доя окружающих. По предварительным данным у стрелявших есть распоряжение на отлов, подписанное председателем комитета по сельскому хозяйству, природным ресурса и экологии администрации Усть-Кутского района Михаилом Тышкивским, и датированное 6 января. То есть за день до того, как Тышкивсконго арестовали по подозрению в халатности СК по Иркутской области. Тем не менее, хотя в заявке и указано "Депо ст.Лена", там ничего не написано про отстрел. Предположительно стреляют сотрудники организации из Братска, к которым и обратилась администрация района за помощью в отлове. О том, что в городе ведется стрельба из огнестрельного оружия, в полицию уже сообщили неравнодушные горожане. Будьте осторожны и не попадите случайно под обстрел! ВИДЕО Ариэль Эмет Специально для «УК24» фото : из открытых источников Канал в Телеграмм Наш Инстаграм Страничка в Одноклассник  
1604
0
08.01.2026 в 12:37
post-34286 thumbnail

#Топ новостьКриминалУсть-Кут

Глава комитета администрации Усть-Кутского МО задержан после нападения собак на ребенка ( нашли дежурную ж...)

Решается вопрос об избрании подозреваемому меры пресечения IrkutskMedia, 7 января. Председатель комитета по сельскому хозяйству, природным ресурсам и экологии администрации Усть-Кутского муниципального образования задержан в рамках расследования уголовного дела о нападении стаи бродячих собак на ребенка. Инцидент произошел 5 января в Усть-Куте. В администрации муниципалитета следователи провели обыски и изъяли документацию, имеющую значение для дела, сообщили в пресс-службе СУ СКР по Иркутской области. В настоящее время решается вопрос об избрании меры пресечения в отношении фигуранта. Подозреваемый был допрошен. Следователи проводят необходимые следственные действия при участии работника администрации. Добавим, что в результате нападения собак пострадавший мальчик получил множество укушенных ран, с которыми был доставлен в районную больницу. Ребенка спасла местная жительница, которая, заслышав крики и лай, выбежала на улицу. Женщина вызвала скорую помощь. Ранее агентство сообщало, что глава СКР Александр Бастрыкин затребовал доклад по уголовному делу о ненадлежащей организации отлова безнадзорных собак в Братске. В интернете сообщается, что длительное время вблизи детского сада и школы обитают бездомные животные. Местные жители опасаются за свою безопасность, а также за жизнь и здоровье детей. Источник: СК38  
2346
0
07.01.2026 в 11:08